
Diagnosis Challenge – What Is This “Waterfall Cataract ” Appearance?
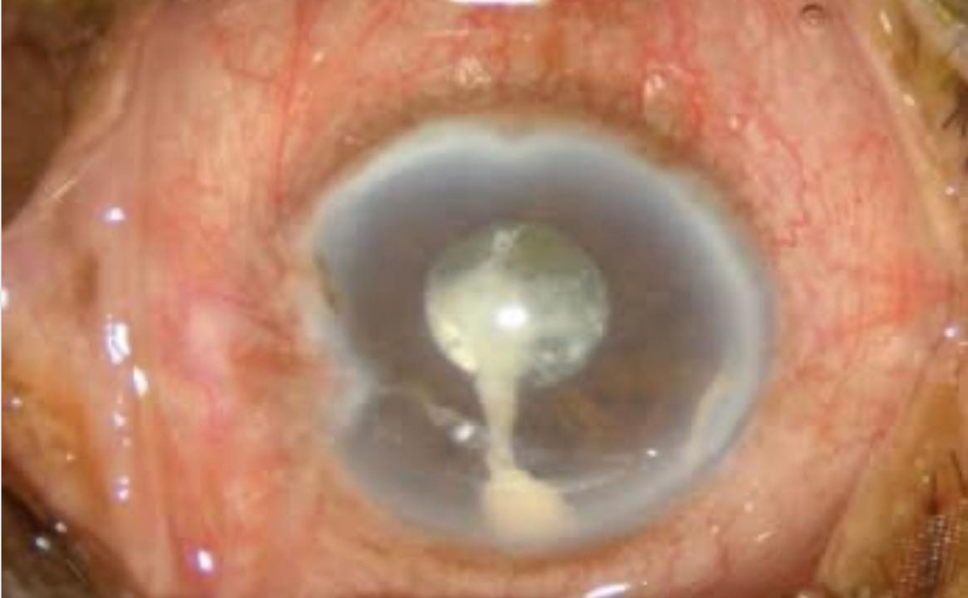
Sometimes in clinical practice, we encounter a dramatic anterior chamber picture — milky fluid, floating white material, and a hypermature cataract in the background.
The answer to this diagnosis challenge is:
Waterfall Cataract (Seen in Phacolytic Glaucoma)
Although “waterfall cataract” is not an official textbook term, it is a descriptive clinical expression used for the striking appearance of liquefied cortical lens material streaming into the anterior chamber from a hypermature cataract.
Let us understand what is happening inside the eye.
What Exactly Is Happening?
In advanced cataract, particularly a hypermature or Morgagnian cataract, the lens cortex undergoes liquefaction.
- The cortex becomes milky and fluid.
- The nucleus sinks inferiorly.
- The lens capsule becomes permeable to high-molecular-weight proteins.
- These proteins leak into the anterior chamber.
When this leakage becomes significant, the anterior chamber may show:
- Flocculent white material
- Milky aqueous
- Floating particles
- Heavy inflammatory response
The streaming appearance of this material gives the impression of a “waterfall.”
Why Does This Lead to Glaucoma?
This condition is associated with phacolytic glaucoma.
Mechanism:
- High-molecular-weight lens proteins escape through microscopic defects in the capsule.
- Macrophages engulf these proteins.
- Protein-laden macrophages accumulate in the trabecular meshwork.
- Aqueous outflow is obstructed.
- Intraocular pressure rises sharply.
Importantly, the angle remains open — this is a secondary open-angle glaucoma.
Clinical Clues That Point to Waterfall Cataract
- Elderly patient
- Long-standing white or mature cataract
- Sudden onset painful red eye
- Very high IOP
- Deep anterior chamber
- Open angles on gonioscopy
- No history of trauma or recent surgery
Discover more from An Eye Care Blog
Subscribe to get the latest posts sent to your email.




You must be logged in to post a comment.